訪問歯科診療

通えなくなった患者さまを、
私たちは決して取り残しません

口腔外科専門クリニックが行う訪問歯科診療
― 外科処置・入れ歯・誤嚥性肺炎予防まで ―

口腔外科専門クリニックの訪問歯科

「通院できない=歯科治療を諦める」ではありません。ふたまたがわ歯科口腔外科では、歯科医師・歯科衛生士がご自宅や施設へ伺い、可能な限り通院と同じような歯科診療をお届けします。

口腔外科専門クリニック
専門知識を活かした高度な診断
入れ歯治療に強い
噛める・痛くない入れ歯の調整
誤嚥性肺炎予防
専門的口腔ケアでリスクを軽減
訪問歯科診療の様子

通えなくなった患者さまを、私たちは決して取り残しません

長年通ってくださっていた患者さまが、高齢や病気、身体機能の低下により通院が難しくなる――その時、私たちにできることは何か。それは、これまでと変わらぬ医療を、ご自宅や施設へお届けすることだと考えています。


訪問歯科診療は、当院にとって「対応可能な診療」ではなく、責任を持って取り組む基幹診療です。「訪問診療を頼むのは申し訳ない」「まだ我慢できるから大丈夫」と遠慮される必要はありません。


「通えなくても、ちゃんと診てもらえる」という安心を、私たちは提供したいのです。口腔外科専門クリニックとして培った経験を活かし、その方の生活に合わせた訪問歯科診療を行います。

ふたまたがわ歯科口腔外科
院長 中谷 逸希

訪問歯科診療とは

歯科医師や歯科衛生士が患者さまのご自宅や入居施設を訪問し、歯科診療を行う医療サービスです。「通院できないから、歯科治療は諦めるしかない」そんな状況を変えるために、国の制度として正式に認められており、通院診療と同様に保険が適用されます。

当院では、訪問診療を「制約のある診療」とは考えていません。患者さまのもとへ伺い、そこで最善の医療を提供する。それが訪問歯科診療の本質です。

高齢者の口腔ケア

なぜ今、訪問歯科が必要なのか

誤嚥性肺炎の予防

口腔内の細菌が誤嚥により肺へ入ることで起こる肺炎は、命に関わるリスクです。専門的ケアでリスクを軽減します。

食事と栄養の維持

「口から食べること」は生きる力そのもの。入れ歯の不具合を解消し、栄養状態の悪化を防ぎます。

QOL(生活の質)の向上

会話ができる、笑顔を見せられる。口腔の健康は、尊厳ある生活に直結します。

対象となる方

ご自宅で療養中の方

  • 高齢により通院が困難な方
  • 病気や障がいにより外出が難しい方
  • 通院時の移動・待機が心身の負担となる方

施設に入居されている方

  • 老人ホーム、グループホーム等にお住まいの方
  • デイサービス等を利用されている方
  • 施設スタッフ様からのご相談も可能です

こんなお困りごとがある方

  • 入れ歯が合わない、痛い
  • 歯が痛い、歯ぐきが腫れている
  • 食事がしにくい、むせやすい
  • 口腔ケアの方法がわからない

訪問歯科診療でできること

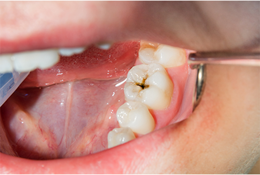
一般歯科診療

むし歯の治療、歯周病の治療、抜歯(全身的な適応を判断し安全に実施)、口腔内の清掃・衛生指導などを行います。ポータブルユニットを持参するため、院内と同等の処置が可能です。

一般歯科診療の画像

義歯(入れ歯)の診療
当院の強み

「入れ歯が合わない」の原因は、歯だけでなく、顎・粘膜・筋力・嚥下機能など複合的です。大学病院で研鑽した入れ歯専門の歯科医師により原因を見極め、調整・修理・新規作製を行い、快適な食生活をサポートします。

義歯(入れ歯)の画像

口腔外科専門クリニックとしての診療

  • 口腔粘膜疾患(口内炎、舌の痛み等)の診断と治療
  • 摂食嚥下障害への対応(飲み込みの評価・訓練)
  • 顎関節症の診療
  • 状態が悪い歯の抜歯(全身状態により適応判断)

一般的な歯科医院では対応が難しい症状についても、口腔外科の視点から総合的な診断を行います。

歯科医療スタッフが高齢の患者に対して嚥下状態を評価している様子

診療の流れ

1

お問い合わせ・ご相談

まずはお電話、またはお問い合わせフォームからご連絡ください。患者さまの状態やご希望をお伺いします。

2

訪問日の調整

患者さま・ご家族のご都合に合わせて日時を調整します。施設入居の方はスタッフ様と連携します。

3

初回訪問・検査

口腔内の状態を確認し、治療計画をご説明します。保険証・お薬手帳をご用意ください。

4

治療の開始

計画に基づき診療を開始します。治療内容や進捗はその都度丁寧にご説明いたします。

5

定期的な口腔ケア

治療終了後も、誤嚥性肺炎予防や健康維持のために定期的なケアや検診を行います。

費用・保険について

訪問歯科診療は、医療保険・介護保険が適用されます。
「訪問診療は高額」というイメージをお持ちの方も、まずはご相談ください。

保険の種類 医療保険(健康保険・後期高齢者医療制度等)および介護保険が適用されます。
交通費 原則無料(駐車場がない場合は実費をいただくことがあります)

1回あたりの自己負担額(目安)

1割負担の方 約1,000円 〜 2,000円程度
2割負担の方 約2,000円 〜 4,000円程度
3割負担の方 約3,000円 〜 6,000円程度

※治療内容により変動します。詳細は診療時にご説明いたします。

ケアマネジャー・医療介護職の皆さまへ

ケアマネジャー・施設スタッフ・医療介護職の皆さまが、安心してご利用者さまをご紹介いただけるよう、当院の訪問歯科診療体制についてご説明いたします。

責任担当制

片手間ではなく、訪問担当チームが責任を持って診療にあたります。

口腔外科の強み

粘膜疾患、摂食嚥下、外科処置まで幅広く対応可能です。

多職種連携

治療方針や計画を適宜共有し、連携を大切にします。

訪問対応エリア:当院(横浜市旭区二俣川)から半径16km圏内
訪問可能日:月曜日〜土曜日(祝日を除く)
施設対応:複数名の同日診療も可能です。

よくある質問

決して大げさではありません。「通院が難しい」という状況は誰にでも起こり得ます。遠慮なくご相談ください。
はい、可能です。口腔内の状態を確認し、必要な治療についてご説明します。
医療保険・介護保険が適用されます。1割負担の方で1回あたり約1,000円〜2,000円程度が目安です。
はい、特別養護老人ホーム、有料老人ホーム、グループホームなど各種施設へ訪問しています。
特別な準備は不要です。保険証とお薬手帳、診療スペース(ベッドや椅子)があれば十分です。

ご相談・お問い合わせ

「こんなことで相談していいのか」と迷われている間に、症状が悪化することもあります。
まずはお気軽にご相談ください。


訪問診療部(北口院)
045-442-4183

Consultation Hour 診療時間

午前
午後
  • 月〜土 09:00 - 13:00 / 14:00 - 18:00
  • 日・祝 休診日

※土曜日は通常の診療時間と異なります。



お問い合わせフォームはこちら
ケアマネジャー・医療介護職の皆さま専用窓口

「ケアマネジャーからの問い合わせ」とお伝えいただければ、優先的に対応いたします。